This website is intended for US Healthcare Professionals only.

Test for CD123: A key marker due to its high expression (~95%) on BPDCN cells2-4

CD123, as part of a signature marker triad with CD4 and CD56, is a key marker in identifying BPDCN—a disease that can be challenging to distinguish from other hematologic malignancies.1,2

 

Signature marker triad1,2*

Signature marker triad Signature marker triad

Key features of CD123 expression

  • Highly expressed (~95%) on BPDCN cells and negligibly expressed on healthy cells2-5
  • Can be both a diagnostic marker and a therapeutic target in BPDCN5

*BPDCN diagnosis can include other markers, such as TCL1, TCF4, and CD303 (BDCA2).1,6

BPDCN is a pathologic diagnosis based on immunophenotype analysis through immunohistochemistry or flow cytometry1

Diagnosis of BPDCN requires multiple positive and negative markers1†

Antigens that confirm the diagnosis of BPDCN1,6 Antigens that exclude the diagnosis of BPDCN2,3,7-11 Other markers that may be positive in BPDCN7,8
  • CD123
  • CD4
  • CD56
  • TCL1
  • CD303 (BDCA2)
  • TCF4
  • Pan T-cell marker: CD3
  • Pan B-cell markers: CD79a, CD20
  • Myeloid markers: CD11c, CD163, lysozyme, myeloperoxidase
  • Markers of immaturity:
    CD34, CD117
  • CD43
  • TdT
  • CD68
  • CD33

One or more of these markers may be negative in some cases of BPDCN. Negativity does not rule out the diagnosis but does make it less likely.1,8

BPDCN, blastic plasmacytoid dendritic cell neoplasm; TdT, terminal deoxynucleotidyl transferase.

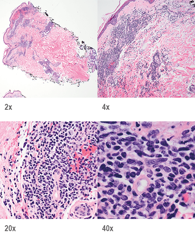
Recognizing BPDCN: Morphology

Punch biopsy of a skin lesion showing BPDCN Punch biopsy of a skin lesion showing BPDCN
Skin
Punch biopsy of a skin lesion showing BPDCN (H&E stain, x40) and (inset) medium-sized malignant cells spare the epidermis (H&E stain, x1000).11
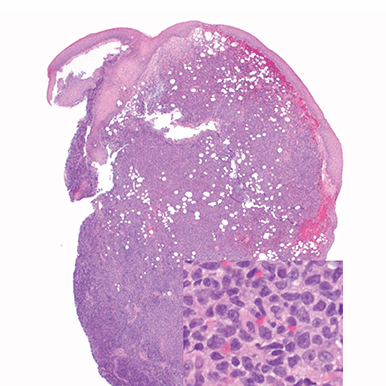
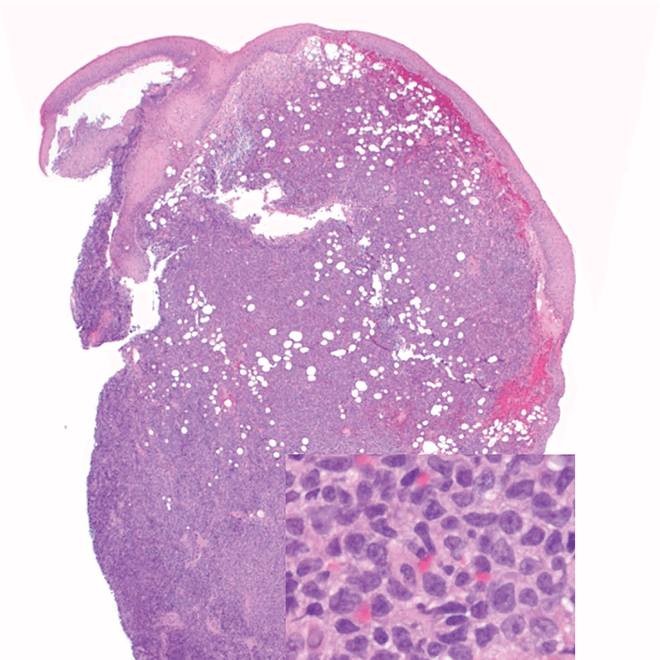
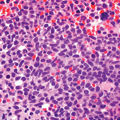
Core bone marrow biopsy Core bone marrow biopsy
Bone marrow
Core biopsy showing diffuse infiltrate by BPDCN (H&E stain, x600).11

H&E, hematoxylin and eosin.

Reprinted by permission of SAGE Publications, Inc.

Main morphologic features of BPDCN biopsy

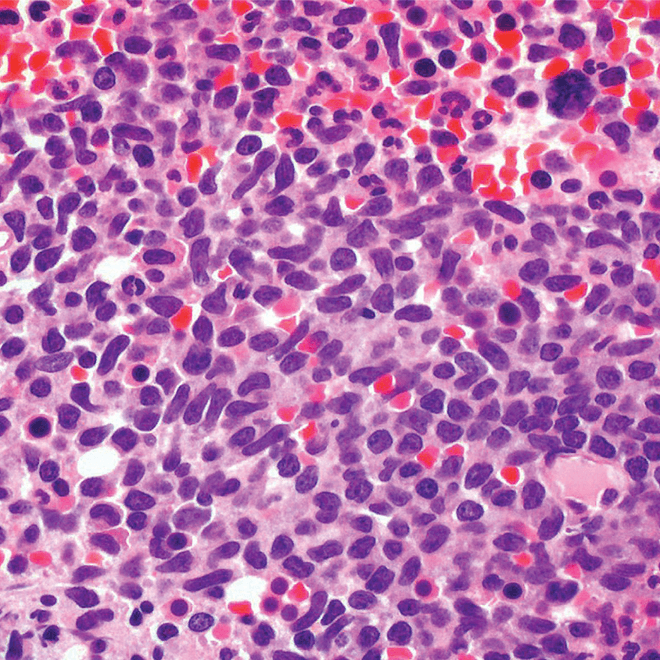
  • Diffuse, monomorphic infiltrate1
  • Medium-sized blast cells with irregular nuclei1
  • Fine chromatin1
  • At least 1 small nucleolus1
  • Malignant BPDCN cells do not typically infiltrate the epidermis4

BPDCN with low-density infiltrate may mimic an inflammatory condition4

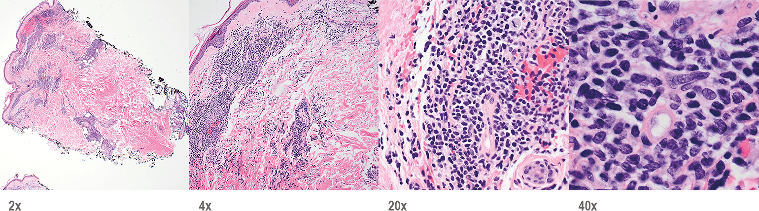
BPDCN with low-density infiltrate BPDCN with low-density infiltrate
  • Cutaneous cases with minimal involvement show periadnexal and perivascular infiltrate, clustering in the superficial to mid dermis12,13
  • Cytology, in association with flow cytometry immunophenotyping and clinical history, can help obtain an accurate diagnosis of BPDCN14
To help with a timely and accurate diagnosis, consider including CD123, CD4, and CD56 in early diagnostic panels1,2
Explore treatment goals for patients with BPDCN
  1. References:
  2. Pagano L, et al. Blastic plasmacytoid dendritic cell neoplasm: diagnostic criteria and therapeutical approaches. Br J Haematol. 2016;174(2):188-202.
  3. Pagano L, et al. Blastic plasmacytoid dendritic cell neoplasm with leukemic presentation: an Italian multicenter study. Haematologica. 2013;98(2):239-246.
  4. Laribi K, et al. Blastic plasmacytoid dendritic cell neoplasm: from origin of the cell to targeted therapies. Biol Blood Marrow Transplant. 2016;22(8):1357-1367.
  5. Facchetti F, et al. Neoplasms derived from plasmacytoid dendritic cells. Mod Pathol. 2016;29(2):98-111.
  6. Frankel AE, et al. Activity of SL-401, a targeted therapy directed to interleukin-3 receptor, in blastic plasmacytoid dendritic cell neoplasm patients. Blood. 2014;124(3):385-392.
  7. Ceribelli M, et al. A druggable TCF4- and BRD4-dependent transcriptional network sustains malignancy in blastic plasmacytoid dendritic cell neoplasm. Cancer Cell. 2016;30(5):764-778.
  8. Cronin DMP, et al. Immunophenotypic analysis of myeloperoxidase-negative leukemia cutis and blastic plasmacytoid dendritic cell neoplasm. Am J Clin Pathol. 2012;137(3):367-376.
  9. Sangle NA, et al. Optimized immunohistochemical panel to differentiate myeloid sarcoma from blastic plasmacytoid dendritic cell neoplasm. Mod Pathol. 2014;27(8):1137-1143.
  10. Deotare U, et al. Blastic plasmacytoid dendritic cell neoplasm with leukemic presentation: 10-Color flow cytometry diagnosis and HyperCVAD therapy. Am J Hematol. 2016;91(3):283-286.
  11. Garnache-Ottou F, et al. Extended diagnostic criteria for plasmacytoid dendritic cell leukaemia. Br J Haematol. 2009;145(5):624-636.
  12. Riaz W, et al. Blastic plasmacytoid dendritic cell neoplasm: update on molecular biology, diagnosis, and therapy. Cancer Control. 2014;21(4):279-289.
  13. Reichard KK. Blastic plasmacytoid dendritic cell neoplasm: how do you distinguish it from acute myeloid leukemia? Surg Pathol Clin. 2013;6(4):743-765.
  14. Sullivan JM, Rizzieri DA. Treatment of blastic plasmacytoid dendritic cell neoplasm. Hematology Am Soc Hematol Educ Program. 2016;2016(1):16-23.
  15. Ferreira J, et al. Cytomorphological features of blastic plasmacytoid dendritic cell neoplasm on FNA and cerebrospinal fluid cytology: a review of 6 cases. Cancer Cytopathol. 2016;124(3):196-202.

INDICATION

  • ELZONRIS is a CD123-directed cytotoxin indicated for the treatment of blastic plasmacytoid dendritic cell neoplasm (BPDCN) in adults and in pediatric patients 2 years and older

IMPORTANT SAFETY INFORMATION

Boxed WARNING: CAPILLARY LEAK SYNDROME

  • Capillary Leak Syndrome (CLS) which may be life-threatening or fatal, can occur in patients receiving ELZONRIS. Monitor for signs and symptoms of CLS and take actions as recommended.

WARNINGS AND PRECAUTIONS

Capillary Leak Syndrome

  • Capillary leak syndrome (CLS), including life-threatening and fatal cases, has been reported among patients treated with ELZONRIS. In patients receiving ELZONRIS in clinical trials, the overall incidence of CLS was 53% (65/122), including Grade 1 or 2 in 43% (52/122) of patients, Grade 3 in 7% (8/122) of patients, Grade 4 in 1% (1/122) of patients, and four fatalities (3%). The median time to onset was 4 days (range - 1 to 46 days), and all but 5 patients experienced an event in Cycle 1.
  • Before initiating therapy with ELZONRIS, ensure that the patient has adequate cardiac function and serum albumin is greater than or equal to 3.2 g/dL. During treatment with ELZONRIS, monitor serum albumin levels prior to the initiation of each dose of ELZONRIS and as indicated clinically thereafter, and assess patients for other signs or symptoms of CLS, including weight gain, new onset or worsening edema, including pulmonary edema, hypotension or hemodynamic instability.

Hypersensitivity Reactions

  • ELZONRIS can cause severe hypersensitivity reactions. In patients receiving ELZONRIS in clinical trials, hypersensitivity reactions were reported in 43% (53/122) of patients treated with ELZONRIS and were Grade ≥ 3 in 7% (9/122). Manifestations of hypersensitivity reported in ≥ 5% of patients include rash, pruritus, and stomatitis. Monitor patients for hypersensitivity reactions during treatment with ELZONRIS. Interrupt ELZONRIS infusion and provide supportive care as needed if a hypersensitivity reaction should occur.

Hepatotoxicity

  • Treatment with ELZONRIS was associated with elevations in liver enzymes. In patients receiving ELZONRIS in clinical trials, elevations in ALT occurred in 79% (96/122) and elevations in AST occurred in 76% (93/122). Grade 3 ALT elevations were reported in 26% (32/122) of patients. Grade 3 AST elevations were reported in 30% (36/122) and Grade 4 AST elevations were reported in 3% (4/122) of patients. Elevated liver enzymes occurred in the majority of patients in Cycle 1 and were reversible following dose interruption.
  • Monitor alanine aminotransferase (ALT) and aspartate aminotransferase (AST) prior to each infusion with ELZONRIS. Withhold ELZONRIS temporarily if the transaminases rise to greater than 5 times the upper limit of normal and resume treatment upon normalization or when resolved.

ADVERSE REACTIONS:

Most common adverse reactions (incidence ≥ 30%) are capillary leak syndrome, nausea, fatigue, pyrexia, peripheral edema, and weight increase. Most common laboratory abnormalities (incidence ≥ 50%) are decreases in albumin, platelets, hemoglobin, calcium, and sodium, and increases in glucose, ALT and AST.

Please see full Prescribing Information, including Boxed WARNING.


To report SUSPECTED ADVERSE REACTIONS, contact Stemline Therapeutics, Inc. at 1-877-332-7961 or contact the FDA at 1-800-FDA-1088 or www.fda.gov/medwatch.

IMPORTANT SAFETY INFORMATION

INDICATION

  • ELZONRIS is a CD123-directed cytotoxin indicated for the treatment of blastic plasmacytoid dendritic cell neoplasm (BPDCN) in adults and in pediatric patients 2 years and older

IMPORTANT SAFETY INFORMATION

Boxed WARNING: CAPILLARY LEAK SYNDROME

  • Capillary Leak Syndrome (CLS) which may be life-threatening or fatal, can occur in patients receiving ELZONRIS. Monitor for signs and symptoms of CLS and take actions as recommended.

WARNINGS AND PRECAUTIONS

Capillary Leak Syndrome

  • Capillary leak syndrome (CLS), including life-threatening and fatal cases, has been reported among patients treated with ELZONRIS. In patients receiving ELZONRIS in clinical trials, the overall incidence of CLS was 53% (65/122), including Grade 1 or 2 in 43% (52/122) of patients, Grade 3 in 7% (8/122) of patients, Grade 4 in 1% (1/122) of patients, and four fatalities (3%). The median time to onset was 4 days (range - 1 to 46 days), and all but 5 patients experienced an event in Cycle 1.
  • Before initiating therapy with ELZONRIS, ensure that the patient has adequate cardiac function and serum albumin is greater than or equal to 3.2 g/dL. During treatment with ELZONRIS, monitor serum albumin levels prior to the initiation of each dose of ELZONRIS and as indicated clinically thereafter, and assess patients for other signs or symptoms of CLS, including weight gain, new onset or worsening edema, including pulmonary edema, hypotension or hemodynamic instability.

Hypersensitivity Reactions

  • ELZONRIS can cause severe hypersensitivity reactions. In patients receiving ELZONRIS in clinical trials, hypersensitivity reactions were reported in 43% (53/122) of patients treated with ELZONRIS and were Grade ≥ 3 in 7% (9/122). Manifestations of hypersensitivity reported in ≥ 5% of patients include rash, pruritus, and stomatitis. Monitor patients for hypersensitivity reactions during treatment with ELZONRIS. Interrupt ELZONRIS infusion and provide supportive care as needed if a hypersensitivity reaction should occur.

Hepatotoxicity

  • Treatment with ELZONRIS was associated with elevations in liver enzymes. In patients receiving ELZONRIS in clinical trials, elevations in ALT occurred in 79% (96/122) and elevations in AST occurred in 76% (93/122). Grade 3 ALT elevations were reported in 26% (32/122) of patients. Grade 3 AST elevations were reported in 30% (36/122) and Grade 4 AST elevations were reported in 3% (4/122) of patients. Elevated liver enzymes occurred in the majority of patients in Cycle 1 and were reversible following dose interruption.
  • Monitor alanine aminotransferase (ALT) and aspartate aminotransferase (AST) prior to each infusion with ELZONRIS. Withhold ELZONRIS temporarily if the transaminases rise to greater than 5 times the upper limit of normal and resume treatment upon normalization or when resolved.

ADVERSE REACTIONS:

Most common adverse reactions (incidence ≥ 30%) are capillary leak syndrome, nausea, fatigue, pyrexia, peripheral edema, and weight increase. Most common laboratory abnormalities (incidence ≥ 50%) are decreases in albumin, platelets, hemoglobin, calcium, and sodium, and increases in glucose, ALT and AST.

Please see full Prescribing Information, including Boxed WARNING.


To report SUSPECTED ADVERSE REACTIONS, contact Stemline Therapeutics, Inc. at 1-877-332-7961 or contact the FDA at 1-800-FDA-1088 or www.fda.gov/medwatch.